Açıklama
Test Sayısı: 100
Raf Ömrü: 24 ay
Saklama Sıcaklığı: +15º – +25º
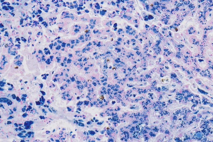
Demir boya kiti dokulardaki, demir lekelerindeki veya kemik iliği lekelerindeki ferrik demirin tespitinde kullanım için tasarlanmıştır. Ferrik demir normalde kemik iliğinde ve dalakta küçük miktarlarda bulunur. Hemokromatoz ve hemosiderozda anormal derecede büyük birikintiler görülebilir. Bu ürün, iyonik demirin asit ferrosiyanür ile mavi renk üreten reaksiyona girdiği Prusya Mavisi reaksiyonuna dayanmaktadır.
Demir : Parlak Mavi
Çekirdekler : Kırmızı
Test Sayısı: 100
Raf Ömrü: 24 ay
Saklama Sıcaklığı: +15º – +25º